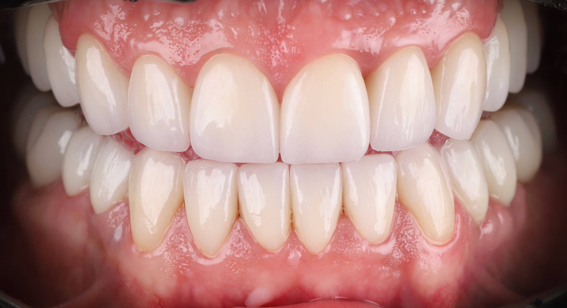
Lyudmila A.admin2026-01-13T13:45:33+02:00 Sorry, your browser doesn't support embedded videos.Sorry, your browser doesn't support embedded videos.Sorry, your browser doesn't support embedded videos.Restoration of aesthetics and function of both dentitions using implants and ceramic veneers. Get a consultation Related Projects Dmitry U. 02.05.2026 Natalia G. 02.05.2026 Tetyana H. 13.01.2026 Natalia K. 13.01.2026