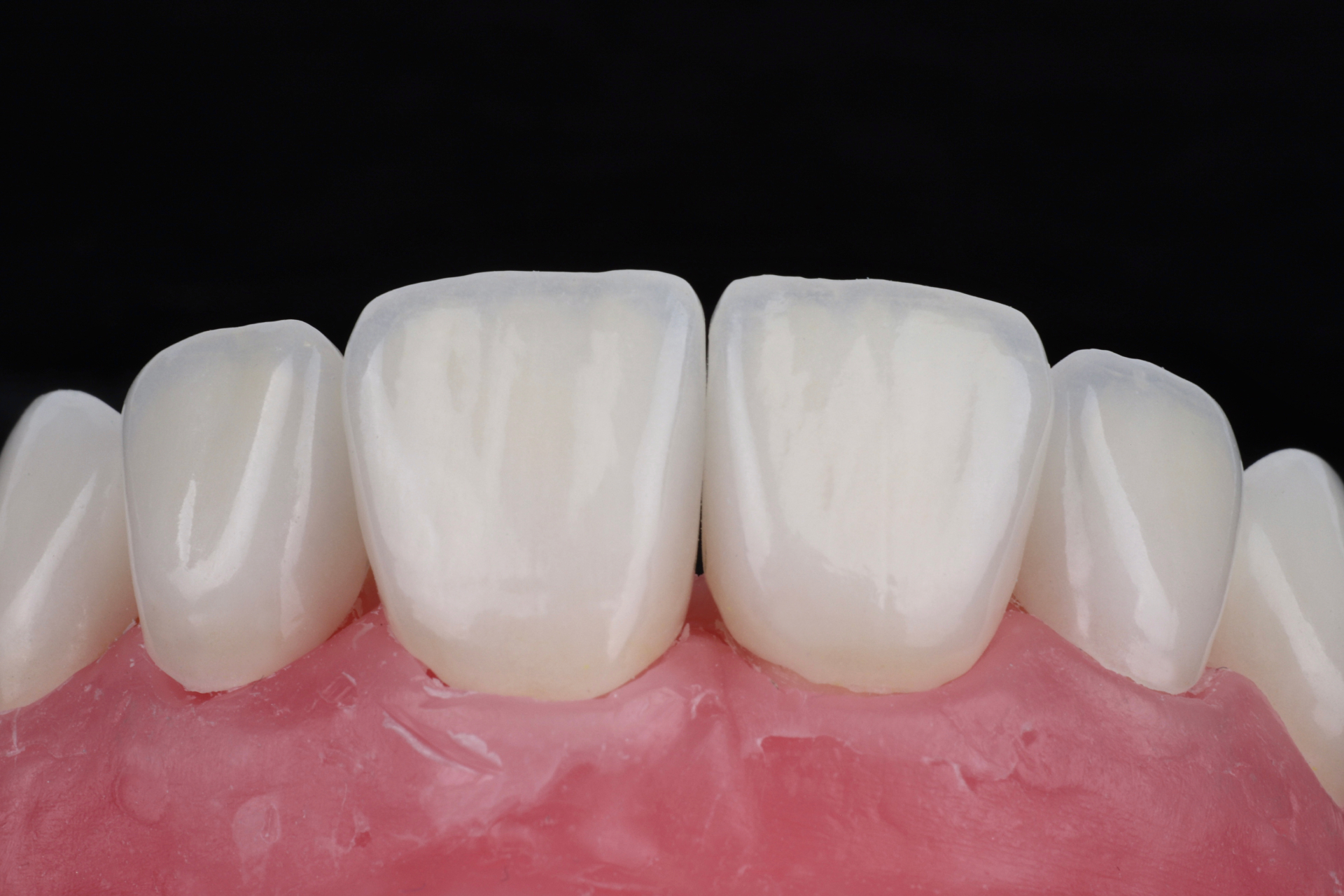
Тетяна Х.admin2026-01-13T15:50:34+02:00Sorry, your browser doesn't support embedded videos.Sorry, your browser doesn't support embedded videos.Sorry, your browser doesn't support embedded videos.Sorry, your browser doesn't support embedded videos.Реставрація усмішки пацієнта за допомогою ультатонких вінірів ручної роботиОтримати консультацію Пов'язані проекти Наталія К. 13.01.2026 Людмила А. 15.12.2025 Альбіна П. 15.12.2025 Наталія В. 12.06.2025