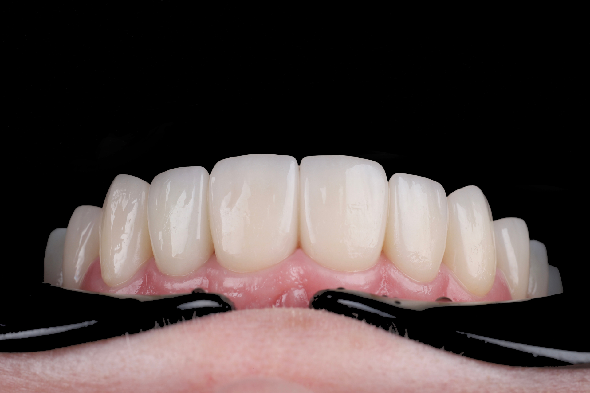
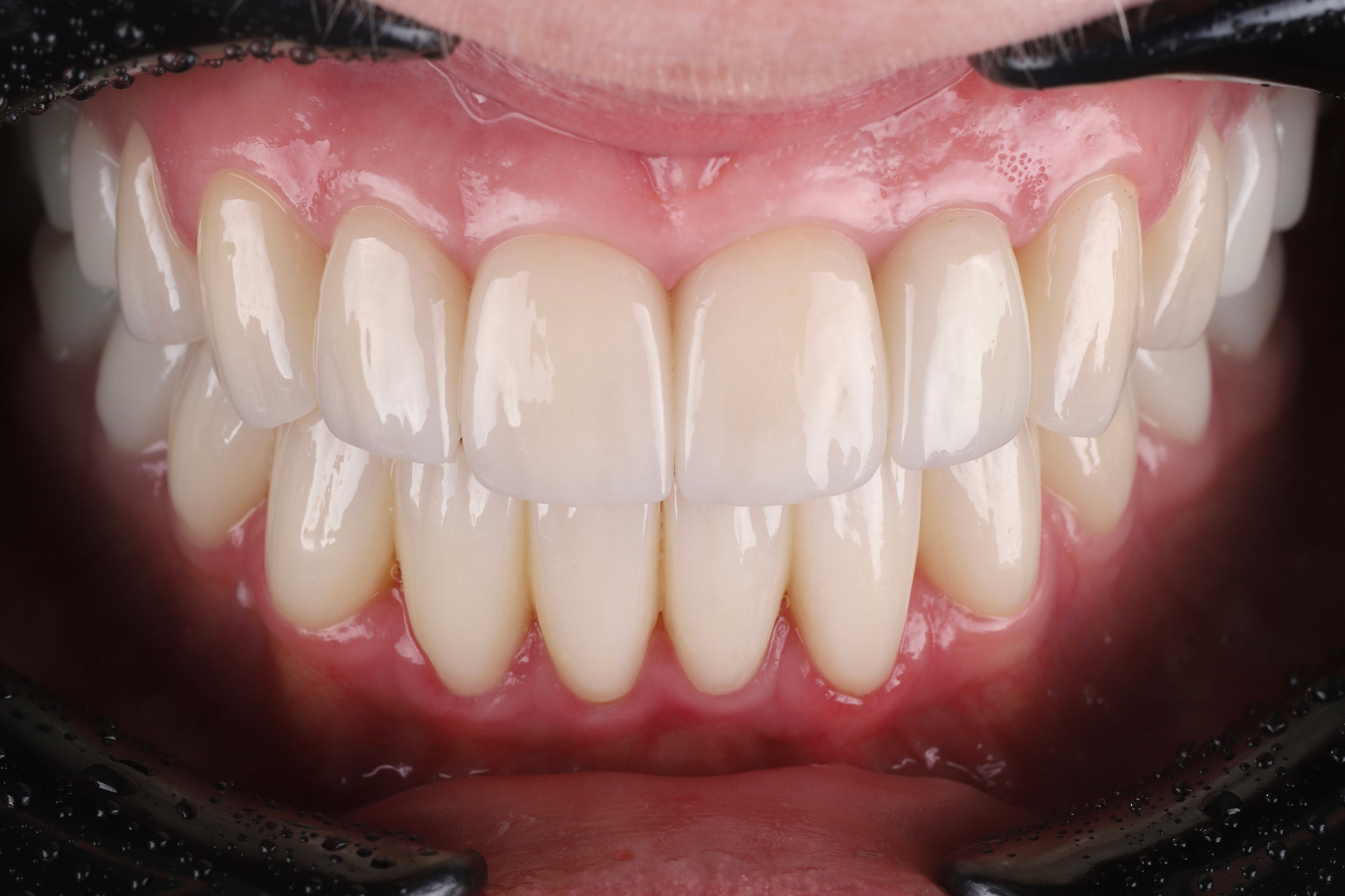
Natalia K.admin2026-01-13T14:38:41+02:00Sorry, your browser doesn't support embedded videos.Sorry, your browser doesn't support embedded videos.Sorry, your browser doesn't support embedded videos.Change in smile aesthetics after orthodontic treatment with ceramic veneersGet a consultation Related Projects Tetyana H. 13.01.2026 Lyudmila A. 15.12.2025 Albina P. 15.12.2025 Natalia V. 12.06.2025