

Анастасія потрапила до мене на прийом по рекомендаціям та відгукам в інтернеті. Складність зміни усмішки полягала в тому, що Анастасія проживала за кордоном.
І основний її страх полягав у тому, що ми вчасно не встигнемо зробити домовлену роботу. Крім того виникала складність з візитами, так як дорога займала багато часу – 2 доби. Але за допомогою сучасних цифрових технологій та оптимального планування візитів -ми справилися з поставленою задачею.
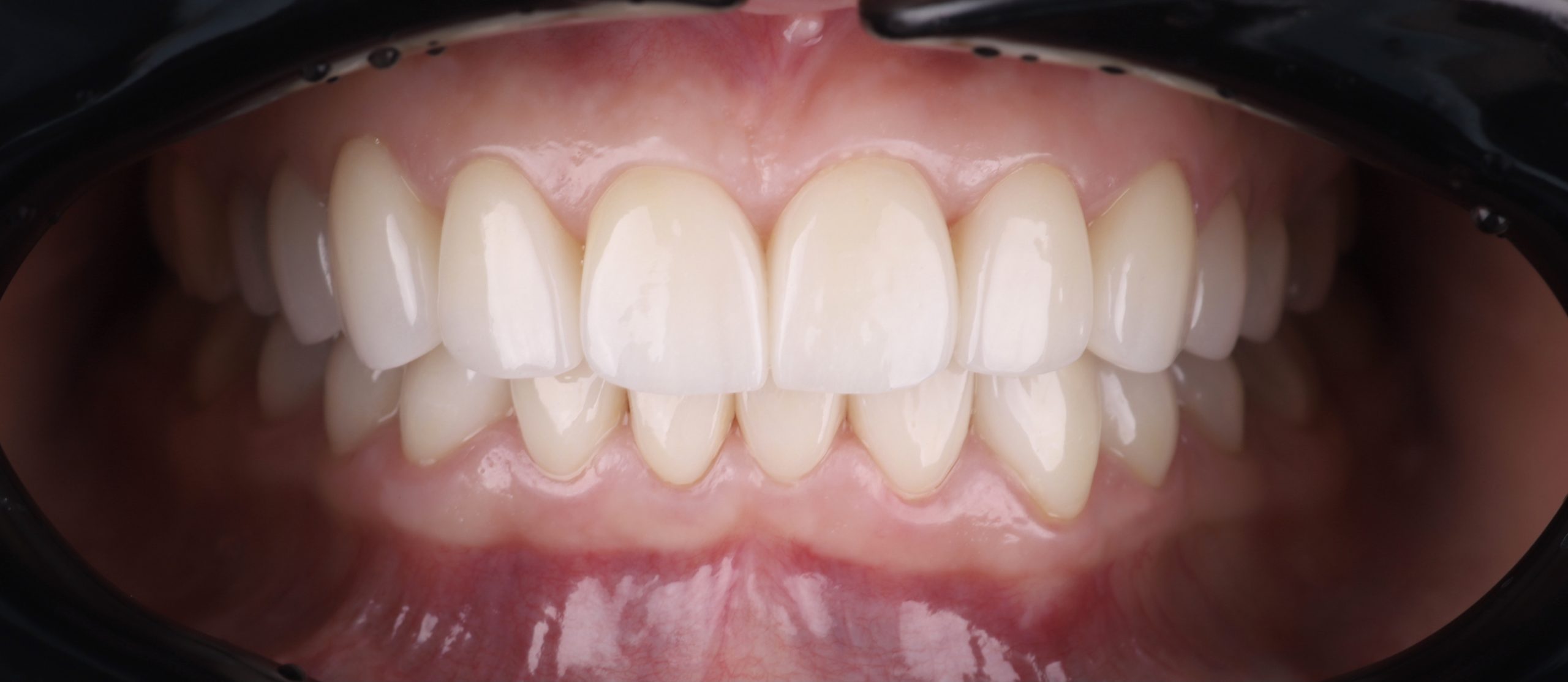
Вже декілька років Анастасія задоволена результатом. Для мене показником довіри є те, що зараз вся її сімʼя лікується у мене! Якщо бажаєте отримати гарну посмішку, записуйтесь на консультацію.







