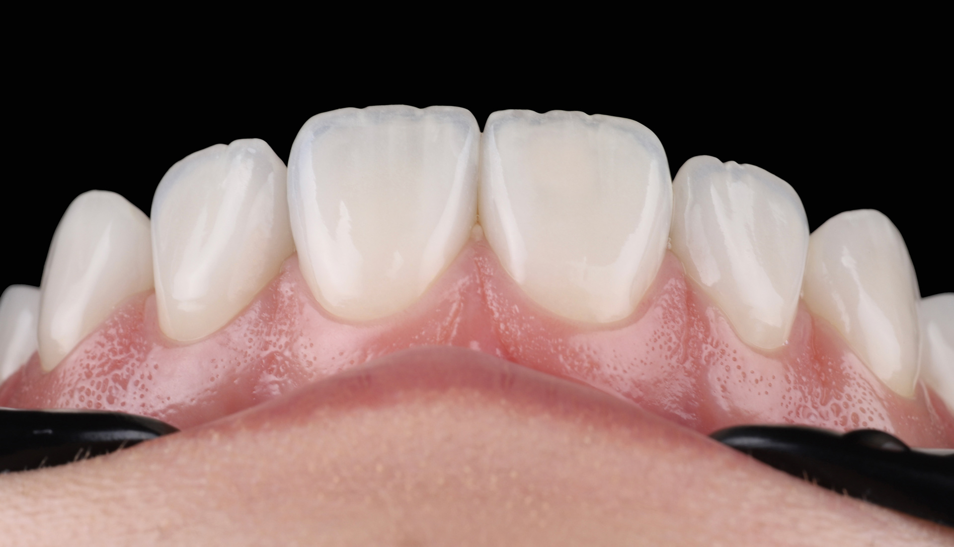
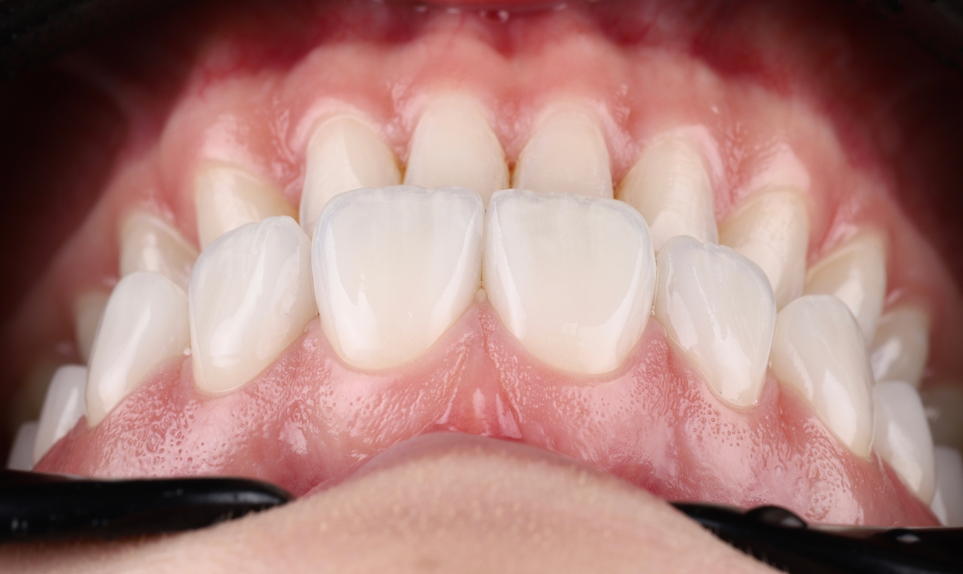
Анастасія З.admin2025-02-04T08:50:03+02:00 Sorry, your browser doesn't support embedded videos.Sorry, your browser doesn't support embedded videos.Sorry, your browser doesn't support embedded videos.Ультратонкі авторські вініри, які підкреслили красу та індивідуальність пацієнта. Отримати консультацію Пов'язані проекти Тетяна Х. 13.01.2026 Наталія К. 13.01.2026 Людмила А. 15.12.2025 Альбіна П. 15.12.2025