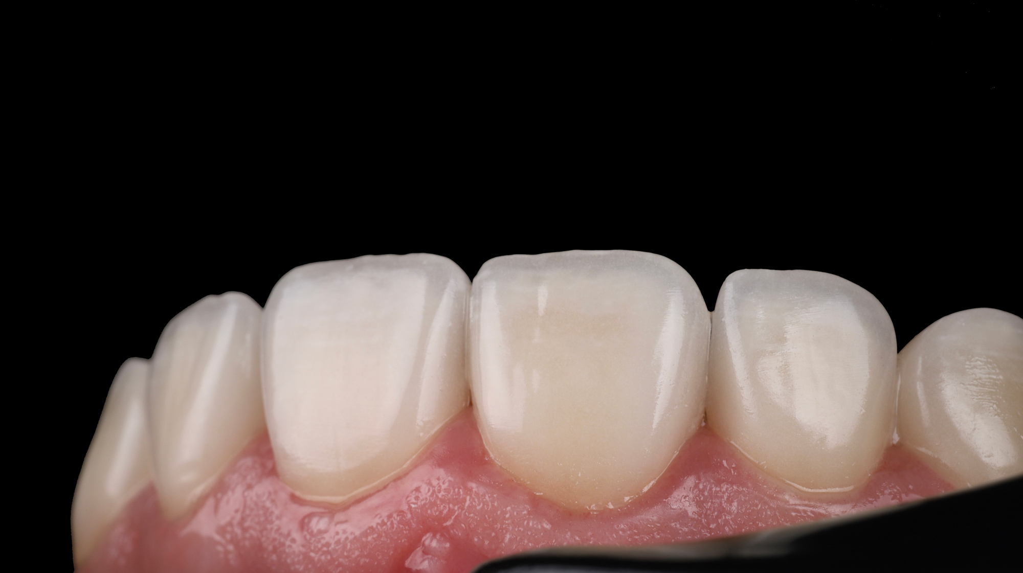
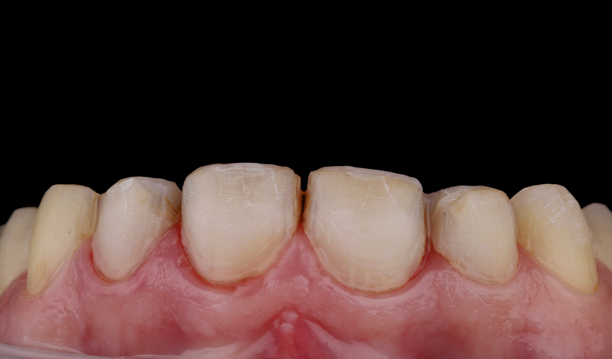
Олена К.admin2024-10-07T20:46:58+03:00 Sorry, your browser doesn't support embedded videos.Sorry, your browser doesn't support embedded videos.Корекція усмішки після довготривалого лікування брекет системою Ультра – тонкими керамічними вінірами ручної роботи. Якщо бажаєте отримати такий результат – записуйтесь на консультацію. Отримати консультацію Пов'язані проекти Тетяна Х. 13.01.2026 Наталія К. 13.01.2026 Людмила А. 15.12.2025 Альбіна П. 15.12.2025