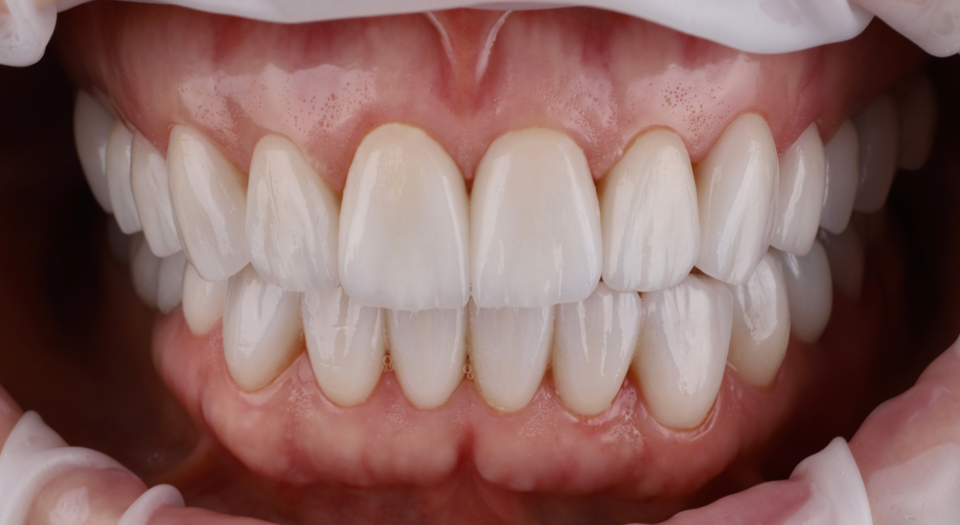
Олена М.admin2025-02-03T22:29:26+02:00 Sorry, your browser doesn't support embedded videos.Sorry, your browser doesn't support embedded videos.Sorry, your browser doesn't support embedded videos.Sorry, your browser doesn't support embedded videos.Кардинальна зміна усмішки за допомогою керамічних вінірів. Проведена функціональна та естетична реабілітація зі зміни висоти прикусу та естетичних характеристик усмішки Отримати консультацію Пов'язані проекти Тетяна Х. 13.01.2026 Наталія К. 13.01.2026 Людмила А. 15.12.2025 Альбіна П. 15.12.2025