



З Оленою вперше ми зустрілися на консультації з приводу заміни старих металокерамічних коронок, які вже ну дуже дошкуляли та турбували багато років. І так, дійсно, зовнішній вигляд коронок бажав кращого.
Олену ми підкупили чітким планом та впевненістю, що результат буде відповідати її побажанням. І хоча в попередніх трьох клініках чітких кроків не надали, а деякі навіть не бралися за роботу.
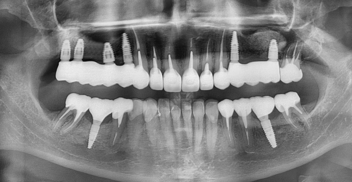
А тепер – що ми зробили:
- провели зняття старих коронок, кісткові пластики, встановлення імплантантів;
- попрацювали з положенням нижньої щелепи та оптимального співвідношення зубів;
- виготовили тимчасові коронки.
І настала війна… Після 1,5 року ми зустрілись знову. А частини тимчасових зубів вже не було, але положення щелеп та імплантанти збереглись. Тому дуже швидко перевели роботу з тимчасових коронок на постійні. Загалом було встановлено всі види ортопедичних конструкцій: коронки, вініри та керамічні накладки.
Олена не стримувала емоції, коли вперше побачила свою оновлену усмішку. І навіть сльози радості не зіпсували нову сяючу усмішку. Олена і досі отримує компліменти від знайомих та близьких стосовно її нового вигляду та яскравості усмішки.
Дуже вдячний їй за терпіння та бажання змінитися на краще!!! Якщо бажаєте отримати такий результат – записуйтесь на консультацію.







