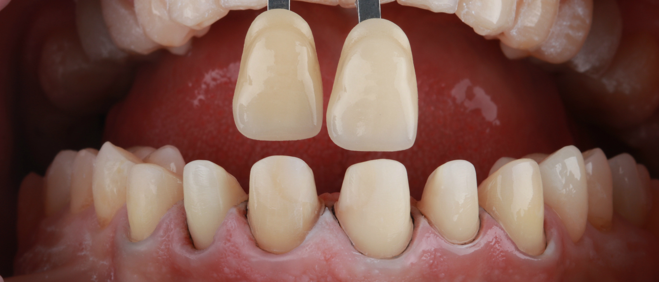
Юрій М.admin2023-12-13T11:14:37+02:00 Встановлено 14 керамічних вінірів – дізнатись вартість. Отримати консультацію Поширити допис в соціальних мережах: FacebookXLinkedInWhatsAppPinterestVkE-mail: Пов'язані проекти Тетяна Х. 13.01.2026 Наталія К. 13.01.2026 Людмила А. 15.12.2025 Альбіна П. 15.12.2025